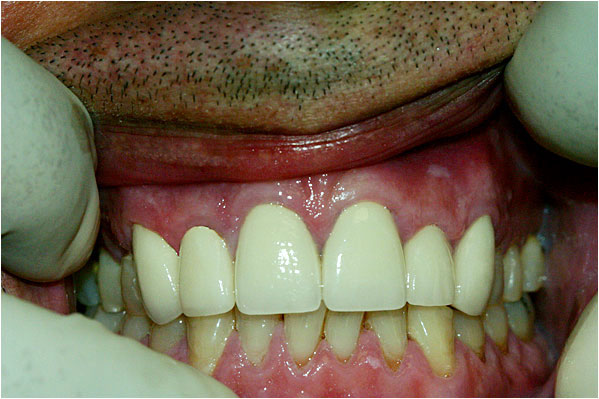
Beautiful Smiles
Dental Crowns
Dental Implants
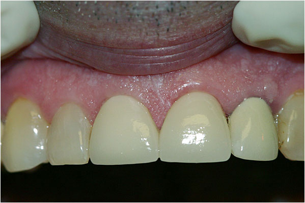
Lumineers
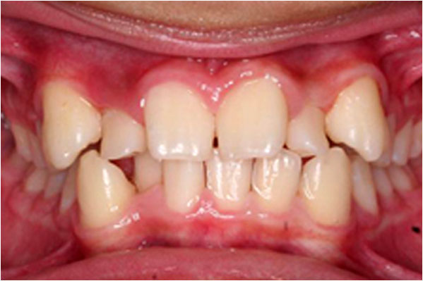
Orthodontics
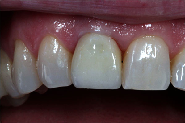
Veneers







